Art

Bucket Handle Injury

Bucket Handle Injury

Understanding and managing a bucket handle injury is crucial for athletes and individuals involved in physical activities. This type of injury, often seen in sports like soccer, basketball, and football, involves a tear in the meniscus, a cartilage structure in the knee. The meniscus acts as a shock absorber and stabilizer, and when it tears, it can cause significant pain and discomfort. This blog post will delve into the causes, symptoms, diagnosis, treatment, and prevention of a bucket handle injury, providing a comprehensive guide for those affected.

What is a Bucket Handle Injury?

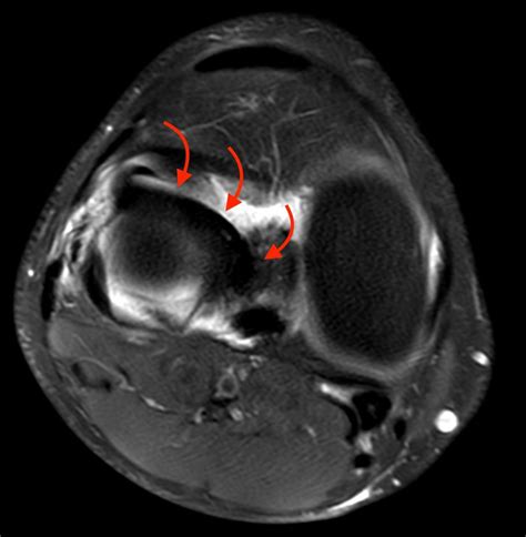
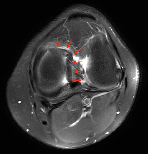
A bucket handle injury is a specific type of meniscal tear where the torn piece of the meniscus flips into the joint space, resembling the handle of a bucket. This type of tear is often more severe and can cause the knee to lock or give way. The meniscus is a C-shaped piece of cartilage that cushions the knee joint and helps distribute weight evenly. When it tears, it can lead to a range of symptoms that affect mobility and quality of life.

Causes of a Bucket Handle Injury

The primary causes of a bucket handle injury include:

  • Traumatic Impact: A sudden twist or pivot while the foot is planted can cause the meniscus to tear. This is common in sports that involve quick changes in direction.
  • Degenerative Changes: Over time, the meniscus can weaken due to age or wear and tear, making it more susceptible to tears.
  • Overuse: Repetitive stress on the knee, such as running or jumping, can lead to meniscal tears.
  • Direct Blow: A direct impact to the knee, such as a tackle in football or a fall, can cause a meniscal tear.

Symptoms of a Bucket Handle Injury

The symptoms of a bucket handle injury can vary but often include:

  • Pain: Sharp or dull pain in the knee, often localized to the inner or outer side.
  • Swelling: Swelling around the knee joint, which may develop within a few hours of the injury.
  • Stiffness: Difficulty bending or straightening the knee.
  • Locking or Catching: The knee may lock or catch, making it difficult to move.
  • Instability: A feeling of the knee giving way or buckling.

Diagnosis of a Bucket Handle Injury

Diagnosing a bucket handle injury involves a combination of physical examination and imaging tests. The diagnostic process typically includes:

  • Medical History: The healthcare provider will ask about the injury, symptoms, and any previous knee problems.
  • Physical Examination: The doctor will examine the knee, checking for swelling, tenderness, and range of motion. Specific tests, such as the McMurray test, can help identify meniscal tears.
  • Imaging Tests: X-rays, MRI, or CT scans may be ordered to visualize the meniscus and confirm the diagnosis. MRI is particularly useful for detecting meniscal tears and assessing the extent of the damage.

Treatment Options for a Bucket Handle Injury

The treatment for a bucket handle injury depends on the severity of the tear and the individual’s activity level. Options include:

  • Non-Surgical Treatment:
    • Rest, Ice, Compression, and Elevation (RICE): This approach helps reduce pain and swelling.
    • Pain Medication: Over-the-counter pain relievers like ibuprofen or naproxen can help manage pain and inflammation.
    • Physical Therapy: Exercises to strengthen the muscles around the knee and improve flexibility can aid in recovery.
  • Surgical Treatment:
    • Arthroscopy: A minimally invasive procedure where a small camera and surgical tools are inserted into the knee to repair or remove the torn meniscus.
    • Meniscectomy: Partial or total removal of the damaged meniscus.
    • Meniscal Repair: Suturing the torn meniscus to promote healing.

Recovery and Rehabilitation

Recovery from a bucket handle injury can take several weeks to months, depending on the treatment approach. Rehabilitation is a crucial part of the recovery process and typically includes:

  • Pain Management: Continuing with pain medication and ice therapy as needed.
  • Range of Motion Exercises: Gentle exercises to improve knee flexibility.
  • Strengthening Exercises: Targeting the quadriceps, hamstrings, and calf muscles to support the knee.
  • Balance and Proprioception Training: Exercises to improve stability and coordination.
  • Gradual Return to Activity: Slowly increasing physical activity under the guidance of a physical therapist.

📝 Note: It is essential to follow the rehabilitation plan prescribed by the healthcare provider or physical therapist to ensure a successful recovery and prevent future injuries.

Prevention of a Bucket Handle Injury

Preventing a bucket handle injury involves several strategies to protect the knee joint:

  • Warm-Up and Cool-Down: Proper warm-up before physical activity and cool-down afterward can help prepare the muscles and joints.
  • Strength Training: Regular exercises to strengthen the muscles around the knee, including the quadriceps, hamstrings, and calves.
  • Flexibility Exercises: Stretching to improve the range of motion and flexibility of the knee joint.
  • Proper Technique: Using correct form and technique during sports and physical activities to reduce the risk of injury.
  • Appropriate Footwear: Wearing supportive and well-fitting shoes designed for the specific activity.

When to Seek Medical Attention

If you experience any of the following symptoms after a knee injury, it is important to seek medical attention:

  • Severe pain or swelling.
  • Inability to bear weight on the affected leg.
  • Knee locking or catching.
  • Significant instability or giving way of the knee.

Early diagnosis and treatment can help prevent further damage and promote a faster recovery.

Long-Term Management

Long-term management of a bucket handle injury involves ongoing care and maintenance to prevent recurrence and maintain knee health. This may include:

  • Regular Exercise: Continuing with a regular exercise program to maintain strength and flexibility.
  • Weight Management: Maintaining a healthy weight to reduce stress on the knee joint.
  • Avoiding High-Impact Activities: Limiting activities that put excessive stress on the knee, such as running or jumping.
  • Regular Check-Ups: Scheduling regular check-ups with a healthcare provider to monitor knee health.

By following these guidelines, individuals can effectively manage a bucket handle injury and maintain long-term knee health.

In summary, a bucket handle injury is a specific type of meniscal tear that can cause significant pain and discomfort. Understanding the causes, symptoms, diagnosis, treatment, and prevention of this injury is essential for effective management. Early intervention and a comprehensive rehabilitation program can help individuals recover and return to their normal activities. Long-term management strategies, including regular exercise and weight management, can prevent recurrence and maintain knee health.

Related Terms:

  • bucket handle injury sigmoid colon
  • bucket handle small bowel injury
  • bucket handle tear abdomen
  • bucket handle injury jejunum
  • what is bucket handle injury
  • bucket handle injury to bowel