Art

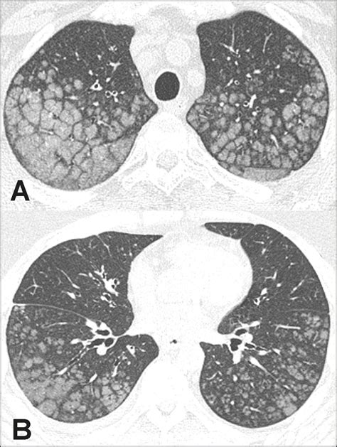
Calcification In Lungs

Calcification In Lungs

Calcification in lungs, a condition where calcium deposits form in the lung tissue, is a topic of growing interest in the medical community. This phenomenon can occur due to various underlying conditions and can have significant implications for respiratory health. Understanding the causes, symptoms, diagnosis, and treatment options for calcification in lungs is crucial for both healthcare providers and patients.

Understanding Calcification in Lungs

Calcification in lungs refers to the abnormal deposition of calcium salts in the lung tissue. This process can affect the lungs' structure and function, leading to various respiratory issues. The calcium deposits can form in different parts of the lung, including the alveoli, bronchi, and blood vessels. The severity and impact of calcification in lungs can vary widely depending on the underlying cause and the extent of the deposits.

Causes of Calcification in Lungs

Calcification in lungs can be caused by a variety of factors, including:

  • Infections: Certain infections, such as tuberculosis and fungal infections, can lead to calcification in the lungs.
  • Inflammatory Conditions: Conditions like sarcoidosis and rheumatoid arthritis can cause inflammation that results in calcium deposits.
  • Metabolic Disorders: Disorders such as hypercalcemia, where there is an excess of calcium in the blood, can lead to calcification in various organs, including the lungs.
  • Trauma: Injuries to the lungs, such as those caused by accidents or medical procedures, can result in calcification.
  • Tumors: Both benign and malignant tumors can cause calcification in the lungs.

Symptoms of Calcification in Lungs

The symptoms of calcification in lungs can vary depending on the underlying cause and the extent of the deposits. Some common symptoms include:

  • Shortness of breath
  • Coughing
  • Chest pain
  • Fatigue
  • Weight loss

In some cases, calcification in lungs may not cause any symptoms, especially in the early stages. However, as the condition progresses, symptoms can become more pronounced and affect daily activities.

Diagnosis of Calcification in Lungs

Diagnosing calcification in lungs involves a combination of medical history, physical examination, and diagnostic tests. Some of the common diagnostic methods include:

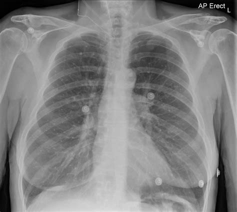
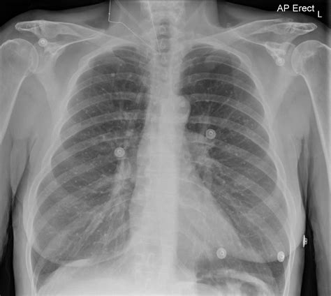
  • Chest X-ray: A chest X-ray can reveal the presence of calcium deposits in the lungs.
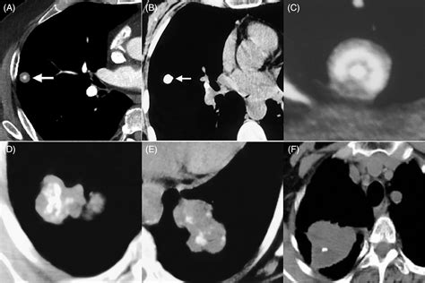
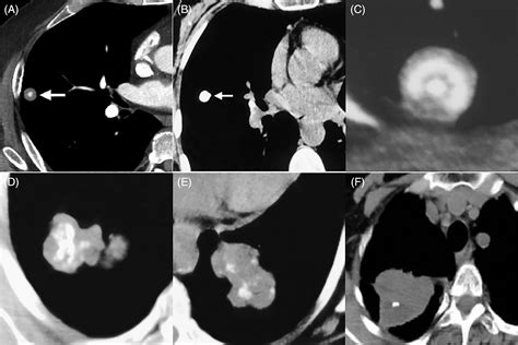
  • CT Scan: A computed tomography (CT) scan provides detailed images of the lungs and can help identify the location and extent of the calcification.
  • Pulmonary Function Tests: These tests measure how well the lungs are functioning and can help assess the impact of calcification on respiratory health.
  • Blood Tests: Blood tests can help identify underlying conditions, such as metabolic disorders, that may be causing the calcification.
  • Bronchoscopy: This procedure involves inserting a thin tube with a camera into the lungs to visualize the airways and take tissue samples for biopsy.

In some cases, a biopsy may be necessary to confirm the diagnosis and determine the underlying cause of the calcification.

Treatment Options for Calcification in Lungs

The treatment of calcification in lungs depends on the underlying cause and the severity of the condition. Some common treatment options include:

  • Medications: Medications such as corticosteroids, antibiotics, and anti-inflammatory drugs can help manage symptoms and treat underlying conditions.
  • Surgery: In some cases, surgery may be necessary to remove calcium deposits or treat underlying conditions, such as tumors.
  • Lifestyle Changes: Lifestyle changes, such as quitting smoking, maintaining a healthy diet, and exercising regularly, can help improve overall respiratory health.
  • Oxygen Therapy: For patients with severe symptoms, oxygen therapy may be necessary to improve breathing and reduce fatigue.

It is important to work closely with a healthcare provider to develop a personalized treatment plan that addresses the underlying cause of the calcification and manages symptoms effectively.

Prevention of Calcification in Lungs

While not all cases of calcification in lungs can be prevented, there are several steps that can be taken to reduce the risk:

  • Quitting smoking and avoiding exposure to secondhand smoke
  • Maintaining a healthy diet rich in calcium and vitamin D
  • Regular exercise to improve overall health and respiratory function
  • Managing underlying conditions, such as metabolic disorders and inflammatory conditions
  • Getting regular check-ups and screenings to detect any potential issues early

By taking these preventive measures, individuals can reduce their risk of developing calcification in lungs and maintain better respiratory health.

📝 Note: It is important to consult with a healthcare provider for personalized advice on preventing and managing calcification in lungs.

Living with Calcification in Lungs

Living with calcification in lungs can be challenging, but with the right management strategies, individuals can maintain a good quality of life. Some tips for living with calcification in lungs include:

  • Following the treatment plan prescribed by a healthcare provider
  • Monitoring symptoms and reporting any changes to a healthcare provider
  • Engaging in regular physical activity to improve respiratory function
  • Maintaining a healthy diet to support overall health
  • Joining support groups to connect with others who are living with similar conditions

By taking an active role in managing the condition and working closely with healthcare providers, individuals can improve their respiratory health and overall well-being.

Calcification in lungs is a complex condition that requires careful management and treatment. By understanding the causes, symptoms, diagnosis, and treatment options, individuals can take proactive steps to manage the condition and improve their respiratory health. Regular check-ups, a healthy lifestyle, and close collaboration with healthcare providers are essential for effective management of calcification in lungs.

Related Terms:

  • calcification in lung lobe
  • calcification of the lungs treatment
  • what causes calcification in lungs
  • calcified lung mass
  • coronary artery calcification in lungs
  • calcification in lungs mayo clinic