Art

Combined Subacute Degeneration

Combined Subacute Degeneration

Combined Subacute Degeneration (CSD) is a rare neurological condition that affects the spinal cord and brain. It is characterized by the degeneration of the myelin sheath, the protective covering of nerve fibers, leading to a range of neurological symptoms. This condition is often associated with vitamin B12 deficiency, making early detection and treatment crucial for managing its progression.

Understanding Combined Subacute Degeneration

Combined Subacute Degeneration is a neurological disorder that primarily affects the spinal cord and, to a lesser extent, the brain. It is caused by a deficiency in vitamin B12, which is essential for the proper functioning of the nervous system. The condition is characterized by the degeneration of the myelin sheath, the protective layer that surrounds nerve fibers, leading to impaired nerve function.

Vitamin B12 plays a critical role in the production of red blood cells and the maintenance of the nervous system. A deficiency in this vitamin can lead to a variety of neurological symptoms, including numbness, tingling, and weakness in the extremities. In severe cases, it can result in paralysis and cognitive impairment.

Symptoms of Combined Subacute Degeneration

The symptoms of Combined Subacute Degeneration can vary widely depending on the severity and duration of the vitamin B12 deficiency. Common symptoms include:

  • Numbness and Tingling: Often felt in the hands and feet, these sensations can be mild or severe.
  • Weakness: Muscle weakness, particularly in the legs, can make walking difficult.
  • Balance Issues: Difficulty maintaining balance and coordination.
  • Cognitive Changes: Memory loss, confusion, and difficulty concentrating.
  • Vision Problems: Blurred vision or changes in vision.
  • Fatigue: Extreme tiredness and lack of energy.

In advanced stages, patients may experience more severe symptoms such as:

  • Paralysis: Loss of movement in the limbs.
  • Severe Cognitive Impairment: Dementia-like symptoms.
  • Incontinence: Loss of bladder or bowel control.

Causes of Combined Subacute Degeneration

The primary cause of Combined Subacute Degeneration is a deficiency in vitamin B12. This deficiency can be due to several factors, including:

  • Dietary Deficiency: Insufficient intake of vitamin B12, which is found in animal products such as meat, poultry, fish, eggs, and dairy.
  • Malabsorption: Conditions that affect the absorption of vitamin B12 in the gut, such as pernicious anemia, Crohn's disease, and celiac disease.
  • Gastric Surgery: Surgical procedures that remove parts of the stomach or small intestine, which can reduce the body's ability to absorb vitamin B12.
  • Medications: Certain medications, such as proton pump inhibitors and metformin, can interfere with vitamin B12 absorption.

Diagnosis of Combined Subacute Degeneration

Diagnosing Combined Subacute Degeneration involves a combination of clinical evaluation, laboratory tests, and imaging studies. The diagnostic process typically includes:

  • Medical History and Physical Examination: A detailed medical history and physical exam to assess symptoms and neurological function.
  • Blood Tests: To measure vitamin B12 levels and check for other related deficiencies, such as folate.
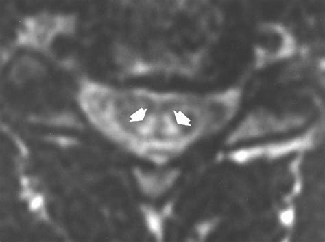
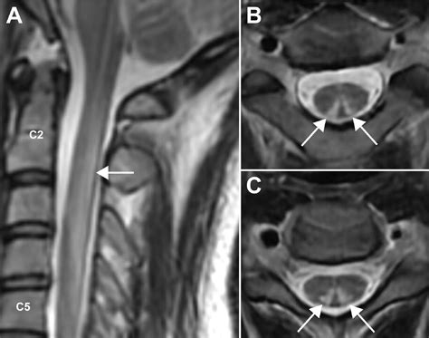
  • Magnetic Resonance Imaging (MRI): To visualize the spinal cord and brain for signs of degeneration.
  • Nerve Conduction Studies: To assess the function of nerves and identify any abnormalities.

Early diagnosis is crucial for effective treatment and to prevent permanent neurological damage.

Treatment of Combined Subacute Degeneration

The primary goal of treating Combined Subacute Degeneration is to correct the vitamin B12 deficiency and manage symptoms. Treatment options include:

  • Vitamin B12 Injections: Regular injections of vitamin B12 to quickly restore normal levels.
  • Oral Supplements: High-dose oral vitamin B12 supplements for long-term maintenance.
  • Dietary Changes: Incorporating foods rich in vitamin B12, such as meat, poultry, fish, eggs, and dairy.
  • Symptomatic Treatment: Medications to manage specific symptoms, such as pain relievers, muscle relaxants, and physical therapy.

In some cases, additional treatments may be necessary to address underlying conditions that contribute to vitamin B12 deficiency, such as gastric surgery or malabsorption syndromes.

Prevention of Combined Subacute Degeneration

Preventing Combined Subacute Degeneration involves ensuring adequate intake and absorption of vitamin B12. Key preventive measures include:

  • Balanced Diet: Consuming a diet rich in vitamin B12, including animal products and fortified foods.
  • Regular Check-ups: Regular medical check-ups to monitor vitamin B12 levels, especially for individuals at risk.
  • Supplementation: Taking vitamin B12 supplements if recommended by a healthcare provider.
  • Managing Underlying Conditions: Proper management of conditions that affect vitamin B12 absorption, such as pernicious anemia and celiac disease.

For individuals who have undergone gastric surgery or have malabsorption issues, regular monitoring and supplementation may be necessary to prevent vitamin B12 deficiency and Combined Subacute Degeneration.

Living with Combined Subacute Degeneration

Living with Combined Subacute Degeneration can be challenging, but with proper management and support, individuals can maintain a good quality of life. Key strategies for managing the condition include:

  • Regular Medical Care: Regular follow-ups with healthcare providers to monitor symptoms and adjust treatment as needed.
  • Physical Therapy: Engaging in physical therapy to improve strength, balance, and mobility.
  • Occupational Therapy: Working with occupational therapists to adapt daily activities and improve functional abilities.
  • Support Groups: Joining support groups to connect with others who have similar experiences and share coping strategies.
  • Mental Health Support: Seeking counseling or therapy to manage the emotional and psychological impact of the condition.

It is important for individuals with Combined Subacute Degeneration to stay informed about their condition and work closely with their healthcare team to manage symptoms and prevent further deterioration.

📝 Note: Always consult with a healthcare provider before making any changes to your diet or treatment plan.

Combined Subacute Degeneration is a serious condition that requires prompt diagnosis and treatment. By understanding the causes, symptoms, and treatment options, individuals can take proactive steps to manage their health and improve their quality of life. Early intervention and regular monitoring are key to preventing permanent neurological damage and ensuring the best possible outcomes.

Related Terms:

  • treatment of subacute combined degeneration
  • symptoms of subacute combined degeneration
  • subacute combined degeneration on mri
  • causes of subacute combined degeneration
  • subacute combined degeneration physical exam
  • subacute combined degeneration workup