Art

Necrotising Pancreatitis Causes

Necrotising Pancreatitis Causes

Necrotising pancreatitis is a severe and potentially life-threatening condition that requires immediate medical attention. Understanding the necrotising pancreatitis causes is crucial for early detection and effective management. This condition occurs when the pancreas becomes inflamed and the tissue begins to die, leading to a range of complications. This blog post will delve into the causes, symptoms, diagnosis, and treatment options for necrotising pancreatitis, providing a comprehensive overview for those seeking to understand this complex medical issue.

Understanding Necrotising Pancreatitis

Necrotising pancreatitis is a severe form of pancreatitis where the inflammation of the pancreas leads to tissue death, or necrosis. This condition can rapidly progress to a life-threatening state if not managed promptly. The pancreas plays a vital role in digestion and blood sugar regulation, making its dysfunction a significant health concern.

Necrotising Pancreatitis Causes

The necrotising pancreatitis causes can be multifaceted and often involve a combination of factors. Some of the most common causes include:

  • Gallstones: Gallstones are a leading cause of pancreatitis. When a gallstone blocks the pancreatic duct, it can lead to inflammation and necrosis.
  • Alcohol Consumption: Excessive alcohol consumption is another major cause. Chronic alcohol use can damage the pancreas, leading to inflammation and tissue death.
  • Trauma: Physical injury to the abdomen can cause pancreatitis. This can occur due to accidents, surgeries, or other forms of trauma.
  • Medications: Certain medications, such as some antibiotics and immunosuppressants, can cause pancreatitis as a side effect.
  • Metabolic Disorders: Conditions like hypertriglyceridemia (high levels of triglycerides in the blood) and hypercalcemia (high levels of calcium in the blood) can increase the risk of pancreatitis.
  • Infections: Viral infections, such as mumps and coxsackievirus, can also lead to pancreatitis.
  • Genetic Factors: Inherited genetic mutations can predispose individuals to pancreatitis.

Symptoms of Necrotising Pancreatitis

The symptoms of necrotising pancreatitis can vary but often include:

  • Severe abdominal pain, often radiating to the back
  • Nausea and vomiting
  • Fever
  • Rapid heart rate
  • Jaundice (yellowing of the skin and eyes)
  • Abdominal tenderness and swelling

In severe cases, patients may also experience shock, organ failure, and other life-threatening complications.

Diagnosis of Necrotising Pancreatitis

Diagnosing necrotising pancreatitis involves a combination of clinical evaluation, laboratory tests, and imaging studies. Key diagnostic steps include:

  • Blood Tests: Elevated levels of pancreatic enzymes, such as amylase and lipase, are indicative of pancreatitis.
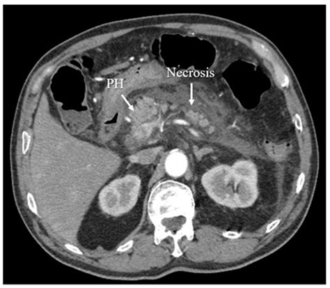
  • Imaging Studies: Computed tomography (CT) scans and magnetic resonance imaging (MRI) are used to visualize the pancreas and detect necrosis.
  • Ultrasound: This can help identify gallstones or other obstructions in the pancreatic duct.
  • Endoscopic Ultrasound: This procedure combines endoscopy and ultrasound to provide detailed images of the pancreas and surrounding structures.

Treatment Options for Necrotising Pancreatitis

The treatment of necrotising pancreatitis focuses on managing symptoms, preventing complications, and promoting tissue recovery. Key treatment options include:

  • Fluid Resuscitation: Intravenous fluids are administered to maintain hydration and support organ function.
  • Pain Management: Medications are used to manage severe abdominal pain.
  • Nutritional Support: Patients may require nutritional support through a feeding tube or intravenous nutrition to ensure adequate calorie and nutrient intake.
  • Antibiotics: In cases of infection, antibiotics are prescribed to control bacterial growth.
  • Surgical Intervention: In severe cases, surgery may be necessary to remove necrotic tissue and drain infected areas.
  • Endoscopic Drainage: This minimally invasive procedure involves using an endoscope to drain fluid collections and reduce pressure on the pancreas.

Complications of Necrotising Pancreatitis

Necrotising pancreatitis can lead to several serious complications, including:

  • Infection: Necrotic tissue can become infected, leading to sepsis and organ failure.
  • Organ Failure: The condition can affect multiple organs, including the kidneys, lungs, and heart.
  • Pseudocysts: Fluid-filled sacs can form in the pancreas, requiring drainage.
  • Pancreatic Fistulas: Abnormal connections between the pancreas and other organs or the skin can develop.
  • Diabetes: Damage to the pancreas can lead to insulin deficiency and diabetes.

Prevention of Necrotising Pancreatitis

While not all cases of necrotising pancreatitis can be prevented, certain measures can reduce the risk:

  • Limit alcohol consumption
  • Manage gallstones and other underlying conditions
  • Avoid medications known to cause pancreatitis
  • Maintain a healthy lifestyle with a balanced diet and regular exercise

📝 Note: If you suspect you or someone else is experiencing symptoms of necrotising pancreatitis, seek immediate medical attention. Early intervention can significantly improve outcomes.

Necrotising pancreatitis is a complex and serious condition that requires prompt and effective management. Understanding the necrotising pancreatitis causes, symptoms, and treatment options is essential for early detection and intervention. By recognizing the signs and seeking appropriate medical care, individuals can improve their chances of recovery and reduce the risk of complications.