Art

Slap Tear Types

Slap Tear Types

Understanding the intricacies of knee injuries is crucial for athletes, healthcare professionals, and anyone involved in physical activities. One of the most common and debilitating injuries is the Slap Tear Types. This condition, often referred to as a superior labral anterior-posterior (SLAP) tear, affects the labrum, a ring of cartilage that surrounds the shoulder socket. This injury can significantly impact an individual's ability to perform daily tasks and participate in sports. This blog post delves into the various Slap Tear Types, their causes, symptoms, diagnosis, and treatment options.

Understanding the Shoulder Anatomy

The shoulder is a complex joint that allows for a wide range of motion. It consists of several components, including the humerus (upper arm bone), scapula (shoulder blade), and clavicle (collarbone). The labrum, a fibrous cartilage, attaches to the glenoid (socket of the shoulder blade) and provides stability to the joint. The biceps tendon also attaches to the labrum, making it a critical structure for shoulder function.

What are Slap Tear Types?

Slap Tear Types refer to injuries to the superior labrum, which is the upper part of the labrum that attaches to the biceps tendon. These tears can be classified into several types based on their location and severity. The most common classification system is the Snyder classification, which includes:

  • Type I: Degenerative fraying of the superior labrum.
  • Type II: Detachment of the biceps tendon from the superior labrum.
  • Type III: Bucket-handle tear of the superior labrum.
  • Type IV: Bucket-handle tear that extends into the biceps tendon.

Causes of Slap Tear Types

Slap Tear Types can result from various mechanisms, including:

  • Traumatic Injuries: Sudden, forceful movements such as falling on an outstretched arm or a direct blow to the shoulder.
  • Repetitive Stress: Overhead activities like throwing a ball, swimming, or weightlifting can lead to gradual wear and tear of the labrum.
  • Degenerative Changes: Age-related degeneration can weaken the labrum, making it more susceptible to tears.

Symptoms of Slap Tear Types

The symptoms of Slap Tear Types can vary depending on the severity and type of tear. Common symptoms include:

  • Shoulder pain, especially with overhead activities.
  • A feeling of instability or looseness in the shoulder.
  • Decreased range of motion.
  • Clicking, popping, or grinding sensations in the shoulder.
  • Weakness in the shoulder and arm.

Diagnosing Slap Tear Types

Diagnosing Slap Tear Types involves a combination of physical examination and imaging tests. The diagnostic process typically includes:

  • Physical Examination: A healthcare professional will assess the shoulder's range of motion, strength, and stability. Specific tests, such as the O'Brien's test and the Speed's test, can help identify a SLAP tear.
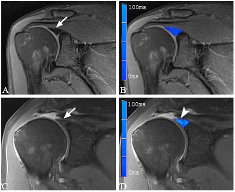
  • Imaging Tests: Magnetic Resonance Imaging (MRI) is the gold standard for diagnosing Slap Tear Types. An MRI arthrogram, which involves injecting contrast dye into the shoulder joint, can provide more detailed images of the labrum and surrounding structures.

Treatment Options for Slap Tear Types

The treatment for Slap Tear Types depends on the severity of the tear, the patient’s age, activity level, and overall health. Treatment options can be categorized into non-surgical and surgical approaches.

Non-Surgical Treatment

Non-surgical treatment is often the first line of defense for Slap Tear Types. It may include:

  • Rest and Activity Modification: Avoiding activities that exacerbate the pain and allowing the shoulder to heal.
  • Pain Management: Over-the-counter pain relievers such as ibuprofen or naproxen can help manage pain and inflammation.
  • Physical Therapy: Exercises to strengthen the shoulder muscles and improve range of motion can be beneficial.
  • Corticosteroid Injections: Injections can reduce inflammation and pain, but they are typically used sparingly due to potential side effects.

Surgical Treatment

If non-surgical treatments fail to provide relief, surgery may be necessary. Surgical options for Slap Tear Types include:

  • Arthroscopic Repair: A minimally invasive procedure where the surgeon uses a small camera and instruments to repair the torn labrum. This is the most common surgical approach.
  • Open Surgery: In some cases, open surgery may be required to repair the tear, especially if the tear is complex or involves other structures.

📝 Note: Recovery from surgery can take several months, and physical therapy is crucial for regaining strength and range of motion.

Prevention of Slap Tear Types

While not all Slap Tear Types can be prevented, there are several strategies to reduce the risk:

  • Proper Warm-Up and Cool-Down: Always warm up before physical activities and cool down afterward to prevent injuries.
  • Strength Training: Strengthening the muscles around the shoulder can provide better support and stability.
  • Correct Technique: Using proper technique during sports and exercises can reduce the risk of injury.
  • Avoiding Overuse: Taking breaks and avoiding repetitive overhead activities can help prevent overuse injuries.

Recovery and Rehabilitation

Recovery from a Slap Tear Types involves a structured rehabilitation program. The goals of rehabilitation include:

  • Pain Management: Controlling pain and inflammation to allow for comfortable movement.
  • Range of Motion: Gradually improving the shoulder's range of motion through gentle exercises.
  • Strengthening: Building strength in the shoulder muscles to support the joint and prevent future injuries.
  • Functional Training: Incorporating activities that mimic daily tasks and sports-specific movements to ensure a full return to function.

Physical therapy plays a crucial role in the recovery process. A physical therapist can design a personalized rehabilitation program based on the individual's needs and progress. The program may include:

  • Passive Range of Motion Exercises: Gentle movements performed by the therapist to improve flexibility.
  • Active Range of Motion Exercises: Movements performed by the patient to strengthen the muscles and improve control.
  • Strengthening Exercises: Resistance exercises to build muscle strength and endurance.
  • Proprioceptive Training: Exercises to improve balance and coordination, which are essential for shoulder stability.

📝 Note: It is important to follow the rehabilitation program as prescribed by the healthcare professional to ensure optimal recovery.

Long-Term Management

Long-term management of Slap Tear Types involves ongoing care and maintenance to prevent recurrence and ensure continued shoulder health. This may include:

  • Regular Exercise: Continuing with a regular exercise program to maintain strength and flexibility.
  • Avoiding High-Risk Activities: Being mindful of activities that may put excessive stress on the shoulder.
  • Follow-Up Care: Regular check-ups with a healthcare professional to monitor progress and address any concerns.

In some cases, individuals may need to modify their activities or sports to accommodate their shoulder condition. This may involve switching to low-impact activities or using protective gear to reduce the risk of further injury.

Slap Tear Types can be a challenging condition to manage, but with the right approach, individuals can achieve a full recovery and return to their activities. Understanding the different Slap Tear Types, their causes, symptoms, and treatment options is essential for effective management. By following a structured rehabilitation program and maintaining a healthy lifestyle, individuals can minimize the impact of this injury and enjoy an active, pain-free life.

Related Terms:

  • type 4 slap tear surgery
  • grade 1 slap tear
  • type 1 slap tear treatment
  • different types of slap tears
  • slap type 2a tear
  • slap type 1 vs 2